Newsletter Newsletters Events Évènements Podcasts Vidéos Africanews
Loader
Suivez-nous
Publicité

Santé : un avatar de la moelle osseuse qui pourrait révolutionner le traitement de la leucémie

Équipement pour l'administration de chimiothérapies dans un hôpital américain
Équipement pour l'administration de chimiothérapies dans un hôpital américain Tous droits réservés  Gerry Broome/AP
Tous droits réservés Gerry Broome/AP
Par Ricardo Figueira
Publié le
Partager Discussion
Partager Close Button

L'idée est née à l'université de Porto et a fini par s'installer sur l'île de Madère, d'où sont originaires deux des créateurs et où est née MYLeukaemia, aujourd'hui récompensée par deux prix de l'innovation décernés par l'Union européenne.

La leucémie, un type de cancer du sang, a tué plus de 311 000 personnes dans le monde en 2020, avec plus de 474 000 nouveaux cas, ce qui représente environ 2,5 % des cas de cancer et 3,1 % des décès par cancer dans le monde, selon la dernière étude mondiale sur la_maladie (Disease Burden, Risk Factors, and Trends of Leukaemia : A Global Analysis_, Frontiers in Oncology, 2022).

PUBLICITÉ
PUBLICITÉ

Le traitement de la maladie a évolué au cours des dernières décennies, avec l'introduction des greffes de moelle osseuse. La première greffe réussie a eu lieu en 1956, et la première au Portugal a été réalisée en 1987 à l'IPO. Le taux de survie à cinq ans pour certains types de leucémie a doublé, passant de 34 % entre 1975 et 1977 à 70 % entre 2014 et 2020 aux États-Unis_(source : Blood Cancer United_). Les greffes de moelle osseuse ou de cellules souches sont venues compléter ce qui reste le premier vecteur de traitement de la maladie : la chimiothérapie.

C'est dans ce contexte que ce groupe de chercheurs dei3S- Institut de recherche et d'innovation en santé de l'Université de Portoa choisi une cible prioritaire : la leucémie myéloïde aiguë (LMA), l'une des leucémies aiguës les plus fréquentes chez l'adulte et l'une des plus agressives. La LAM n'est pas une maladie "unique", car elle présente de multiples sous-types et profils moléculaires, avec des réponses très différentes aux thérapies disponibles. C'est pourquoi, malgré les progrès, les résultats restent difficiles : le taux de survie à cinq ans est d'environ 25 à 30 % en moyenne et diminue considérablement avec l'âge.

Mais les patients ne sont pas des numéros. En plus du diagnostic, chaque personne apporte son propre contexte clinique et biologique : âge, comorbidités, antécédents thérapeutiques et caractéristiques biologiques uniques de la maladie, qui peuvent complètement déterminer la façon dont ils répondent au traitement. C'est pourquoi une question demeure, malgré tous les progrès réalisés dans la lutte contre la maladie : comment adapter la thérapie à chaque patient, comment créer un cadre thérapeutique sur mesure pour chaque personne, qui réponde à ses besoins biologiques ?

Avatar de la moelle osseuse

La réponse pourrait venir du modèle innovant que ce groupe a créé. L'idée a été développée par Hugo Caires (chercheur principal), Hugo Prazeres (responsable du transfert de technologie) et Diana Sousa (pharmacienne) dans le cadre de leurs recherches à l'université de Porto, un projet exploratoire financé par la Fondation pour la science et la technologie (FCT) : "L'idée était de réaliser que nous devions créer des modèles plus réalistes pour comprendre ce qui se passe chez ces patients atteints de leucémie myéloïde aiguë, pour comprendre pourquoi, après un traitement, beaucoup de ces patients connaissent des rechutes de la maladie. Environ la moitié des patients qui sont en rémission après une première ligne de chimiothérapie d'induction/consolidation rechutent après un an, et nous devions comprendre pourquoi", explique Hugo Caires, PDG de MYLeukaemia, à Euronews.

Hugo Caires
Hugo Caires Hugo Caires / Linkedin

Du projet universitaire, l'idée a évolué vers la création d'une entreprise qui vise à se faire un nom dans le domaine des thérapies contre la leucémie : MyLeukaemia est encore en phase de formation, mais a récemment remporté deux prix aux EIT Innovation Awards, les récompenses annuelles de l'Institut européen d'innovation et de technologie (EIT), une institution de l'UE basée à Budapest qui soutient les start-ups européennes. Le projet a été primé dans la catégorie "Santé" et dans la catégorie "Prix spécial régions ultrapériphériques", car il est basé sur l'île de Madère. Des prix ont également été décernés à deux autres startups portugaises, ProSpec dans la catégorie "Matières premières" et SmartRoads dans la catégorie "Villes intelligentes et mobilité".

Les lauréats des prix de l'EIT
Les lauréats des prix de l'EIT EIT

De Porto à Madère, d'où sont originaires Hugo Caires et Diana Sousa, c'est là que le groupe veut s'implanter et commencer à travailler, ayant déjà entamé des dialogues avec diverses entités gouvernementales régionales et avec le service d'hématologie de SESARAM (Service de santé de la région autonome de Madère), en vue d'une future collaboration.

La médecine et l'innovation doivent être sûres", explique Hugo Caires, et plusieurs phases de test sont donc prévues : "Tout d'abord, nous devons réaliser une étude pilote, généralement observationnelle, afin d'établir la capacité de la nouvelle technologie_(organe sur puce_) à prédire quels patients ne répondront pas à la thérapie standard. Il s'agit ici de 20 à 30 patients. C'est un processus qui pourrait prendre un an", ajoute-t-il. Ensuite, il y a tout un processus très bien réglementé et décrit, très bien validé, de validation par les organisations nationales et les agences européennes, les " organismes notificateurs", qui superviseront la performance de la technologie dans l'utilisation clinique. Ce n'est qu'après cette validation dans des études multicentriques, avec plus de 100 ou 150 patients, que nous pouvons passer à la phase suivante. En termes de délais, nous parlons généralement de trois ans de recherche ardue, en collaboration avec les cliniciens, avec beaucoup d'investissements pour mener le projet à bien. Ce n'est qu'ensuite, si les organismes compétents donnent un avis positif, que la validation CE-IVD_(diagnostic in vitro_) est accordée et que la technologie peut être commercialisée pour le diagnostic in vitro et devenir disponible pour les hématologues et, par conséquent, pour les patients atteints de néoplasmes hématologiques. L'innovation ne se fait pas du jour au lendemain. Elle doit être réglementée et validée de manière responsable afin que, lorsqu'elle atteint le patient, elle soit sûre, efficace et permette de prendre une décision clinique sur la base de preuves fonctionnelles préalables, fournies par ces nouvelles technologies, qui augmenteront la survie de ces patients", conclut Hugo Caires.

En quoi consiste l'avatar ?

L'"avatar" MYLeukaemia est un modèle de moelle osseuse sur puce qui permet de tester, en laboratoire, la réponse des cellules leucémiques à différentes thérapies, une approche fonctionnelle d'oncologie de précision destinée à soutenir les décisions thérapeutiques dans le futur.

Dans cette phase de développement, l'équipe a travaillé avec des lignées primaires et des lignées de cellules leucémiques humaines (cellules issues de patients et aujourd'hui commercialisées ou mises à disposition par des biobanques), une pratique courante en recherche pour optimiser le prototype et valider le modèle avant de passer aux échantillons cliniques.

À partir de ces cellules humaines, on construit un modèle qui reproduit la moelle osseuse que nous partageons tous : "Il s'agit d'une puce de la taille d'une pièce d'un euro, dans laquelle nous créons un microenvironnement très similaire à ce qui se passe dans la moelle osseuse humaine, qui comporte une partie osseuse externe et une composante gélatineuse au centre, avec un réseau très vascularisé. Nous avons ainsi pu reproduire en laboratoire ce qui se passe dans le corps du patient", explique Hugo Caires. Ce type de modèle a également permis d'étudier les interactions entre les cellules leucémiques et leur "refuge" dans la moelle osseuse, y compris les mécanismes associés à l'évitement de la chimiothérapie et au risque de rechute.

Il s'agit d'une puce de la taille d'une pièce d'un euro, dans laquelle nous créons un microenvironnement très similaire à ce qui se passe dans la moelle osseuse humaine.
Hugo Caires
Directeur général de MYLeukaemia

La prochaine étape consistera à personnaliser progressivement l'avatar, en intégrant les cellules leucémiques du patient dans le microenvironnement créé sur la puce et en testant différents régimes thérapeutiques déjà utilisés dans la pratique clinique, dans le but de générer des preuves fonctionnelles pouvant informer le clinicien en temps utile. "Aujourd'hui, de nombreuses décisions suivent des protocoles, faute d'outils fonctionnels rapides permettant d'anticiper la meilleure option thérapeutique pour chaque individu, avant de l'administrer au patient", ajoute-t-il.

De nombreuses décisions suivent aujourd'hui des protocoles, faute d'outils fonctionnels rapides permettant d'anticiper la meilleure option thérapeutique pour chaque individu.
Hugo Caires
PDG de MYLeukaemia

L'entreprise cherche à établir des contacts avec des services d'hématologie et à tester, en parallèle, des échantillons cliniques du patient, en les mettant en contact avec le dispositif de manière à ce qu'ils agissent comme des avatars de la moelle osseuse humaine et donnent une réponse physiologique à ce qui sera attendu lorsque la thérapie sera administrée au patient. Les études pilotes devraient en principe être menées à Madère et impliquer ensuite les hôpitaux du nord du pays, i3S elle-même ainsi que l'Institut de pathologie et d'immunologie moléculaire de l'Université de Porto (IPATIMUP).

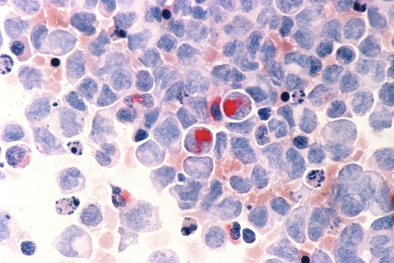
Cellules de leucémie au microscope
Cellules de leucémie vues au microscope AP/National Cancer Institute

L'idée peut-elle révolutionner les traitements ?

Hugo Caires préfère ne pas promettre de révolution avant d'avoir les résultats de l'étude pilote, mais il pense que son idée permettra aux cliniciens d'utiliser plus intelligemment les thérapies disponibles aujourd'hui. Ce sera un outil utile dans la lutte contre un adversaire très puissant : une maladie très agressive et difficile à traiter comme la leucémie myéloïde aiguë, l'un des types de leucémie les plus courants qui, en fait, se décline en plus de 11 maladies différentes en raison de différentes mutations qui donnent lieu à des entités cliniques distinctes avec une grande hétérogénéité dans la réponse thérapeutique à la thérapie standard. L'idée est de "pouvoir améliorer les résultats cliniques de ces patients, qui sont assez médiocres, en attribuant la bonne thérapie au bon patient sur la base d'un diagnostic fonctionnel préalable de médecine de précision dans les propres cellules leucémiques du patient", selon les termes du chercheur.

Bien que bienvenus, les 10 000 euros du prix ne suffisent pas à financer la recherche, mais ils constituent une aide précieuse pour le démarrage de l'entreprise, avoue le PDG. Plus que la valeur monétaire, il était important de recevoir le prix pour la reconnaissance d'un grand potentiel au niveau européen, ce qui donne à MYLeukaemia plus d'arguments pour obtenir des financements auprès des institutions européennes : "Je pense que MYLeukaemia sera prépondérante dans quelques années, une fois qu'elle aura été validée et approuvée, mais c'est un processus long, auquel nous travaillons tous les jours", ajoute M. Caires.

Cérémonie de remise des prix de MYLeukaemia aux EIT Awards

Comment voyez-vous l'entreprise dans dix ans ? "Nous allons maintenant créer l'entreprise, l'incuber à Startup Madeira et, si tout se passe comme prévu, une fois que nous aurons passé la barrière des essais cliniques, nous espérons exporter le concept du Portugal vers le reste de l'Union européenne et devenir l'entreprise de référence en matière de traitements personnalisés pour la leucémie et d'autres cancers du sang à l'échelle européenne", explique-t-il.

Quant au prix, Hugo Caires estime qu'il prouve que, même avec moins de fonds, le Portugal peut rivaliser avec d'autres pays de l'UE en matière d'innovation technologique, puisque les entreprises portugaises ont reçu quatre des neuf prix décernés par l'IET, dont deux à MYLeukaemia : "Cela signifie que le Portugal est capable de faire de la science de haut niveau, de la Deep Tech avec un énorme potentiel, et nous devons maintenant trouver les instruments financiers pour que ces start-ups portugaises puissent surmonter la "vallée de la mort" du financement", conclut-il.

Accéder aux raccourcis d'accessibilité
Partager Discussion

À découvrir également

Vaccin HPV : le risque de cancer du col chute, effets secondaires minimes, selon une vaste revue

"Bataille contre mon sang" : Tatiana Schlossberg, la petite-fille de JFK révèle son cancer en phase terminale

Un nouveau traitement contre la leucémie donne beaucoup d'espoirs